Меланоцит өдөөгч даавар (MSH) | Эмийн ургамал с...
Семинар «Патология меланоцитарной системы» — Ку...
Меланоцитарная система - презентация онлайн
Что такое меланоциты? | МЦ Лазерсвiт
Ива тонкостолбиковая Меланостахис - Сады Беловых
Меланоз фото. Как выглядит меланоз кожи риля
Мелатонинът е ефективен при поликистоза на бъбр...
Меланонихия
Что такое меланоциты в волосе - 85 фото
Презентация на тему: "Особенности течения мелан...
Меланоциты Эпидермиса Кожи Фото — Mixyfotos.ru
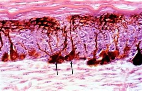
Меланизация и образование меланосом
Melanesthes (Mongolesthes) altaica Kaszab, 1967...
Макроскопски приказ на диспластичен меланоцитен...
Corydoras melanistius
Меланома патанатомия
melanosis - meddic
Злокачественная меланома кожи - презентация онлайн
Меланоцити-нормални | Meat jerky, Food, Meat
МЕЛАНОЦИТ