Продать почку купить десятку - YouTube
В Китае впервые вырастили человеческую почку - ...
Почки говяжьи– купить в интернет-магазине, цена...
Почки по-русски — рецепт с фото пошагово
Почки - строение, функции, основные заболевания...
Это почки... | Пикабу
Pocky с разными вкусами в Других Сладостях! Poc...
Всемирный день почки в Самаре ...: 3ojlotou — L...
Почки со скидкой. Как Иран легализовал торговлю...
Что любят наши почки - tochka.net
Пшено исцеляет Почки! Старинный эффективный спо...
Почки конские купить в СПб | Барбос-Эталон
Настоящие почки. - YouTube
Как очистить почки в домашних условиях | «Центр...
Почки свиные: купить свиные почки оптом с доста...
Сосновые почки купить по низким ценам в магазин...
Весенние почки - Со Вкусом
Купить Березовые почки оптом
Продам СОСНОВЫЕ почки, Волынская обл., Лекарств...
Почки: функции, болезни и аномалии развития | «...
Ультразвуковая анатомия почек - статьи по ветер...
Купить картину Почки распустились в Москве от х...
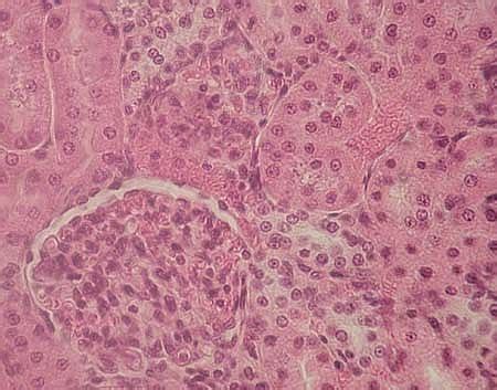
МИКРОСКОПИЧЕСКИЕ ФОТОГРАФИИ - МОЧЕВЫДЕЛИТЕЛЬНАЯ...
Почки сосны купить — купить по низкой цене на Я...
Убийцы ПОЧЕК! 8 продуктов, которые УБИВАЮТ ваши...
Побег и почки — Гипермаркет знаний
В Италии научились выращивать искусственные поч...
Сосновые почки - купить за 200 руб. на ВК Марке...
Натуральный корм для собак Почки говяжьи в/у ку...
Березы почки цена в аптеках Сочи, купить - Поис...
Почки! Нигде в интернете этого не расскажут! Оч...
ПОЧКИ- НАШИ ГЛАВНЫЕ , ФИЛЬТРЫ ‼️ - YouTube