Ополаскиватель для полости рта Пародонтоцид Мос...
Ополаскиватель для рта – виды, функции, рекомен...
Ополаскиватель Parodontax Ежедневная защита дес...
Ополаскиватель для полости рта parodontax для е...
Propolins – ополаскиватель для зубов
Лечение на пародонтоза — Естедентал
Знаете ли, че пародонтитът, познат още като пар...
Есть ли польза от ополаскивателей для рта | Купрум
Пародонтоза | Новини | Dental.bg
Каковы симптомы и лечение пародонтита
Лучшие ополаскиватели для полости рта – 14 эффе...
Ополаскиватели для полости рта - презентация он...
Лечение на пародонтит и пушене – крайно лоша ко...
Пародонтология – Грижа за здравето на венците |...
Aptekirls.ru :: Пародонтакс ополаскиватель д/по...
Ополаскиватель Пародонтакс экстра д/пол рта 300...
Ополіскувач Dental Anti-Paradontit 300мл – онла...
Лечение пародонтита – современные методы
Скрытые возможности ополаскивателя для полости ...
Ополіскувач д/порожнини рота Прополіс-Пародонт ...
Ополаскиватель для полости рта parodontax Extra...
Пародонтит и пародонтология - Блог стоматологич...
Пародонтоза: начини да я избегнем и как да я ле...
Воспалительные заболевания пародонта - Cтоматол...
Пародонтит симптомы и лечение. Профилактика пар...
Ополаскиватель для полости рта Perlodent med - ...
Пародонтит: Причини, Симптоми и Лечение – Как д...
Лучшие ополаскиватели для полости рта в 2024 го...
Пародонтакс ополаскиватель для полости рта: осо...
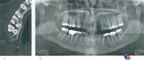
Рентгенологическая оценка поражений пародонта в...
Лечение пародонтита и пародонтоза - Эстель Дент