Котел твердопаливний Тепломайстер КТ-14.4 14 кВ...
Как делают КТ легких? Статьи и новости ☢️ Rentg...
GB/T 3094-2012 English PDF (GB/T3094-2012) – ww...
Klocki Cobi Hc Wwii 3094 Czołg Sturmpanzerwagen...
CVE-2024-3094: un código malicioso en las distr...
Корреспонденция счетов бухгалтерского учёта: чт...
Кт502 транзистор содержание драгметаллов
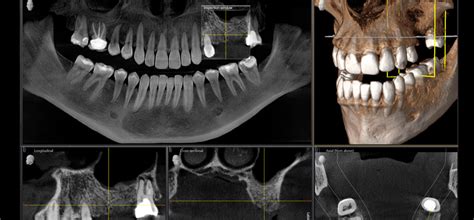
Компьютерная томография зубов | Стоматологическ...
Применение КТ ("кате") в медицине: что это тако...
Транзистор КТ502: Характеристики, цоколевка, ма...
2023年5月24日発 3094レ~4094レ~4084レ(札幌タ~...
Транзистор КТ972: Характеристики, аналоги, цоко...
Блендер с подогревом Kitfort КТ-3094 - Хлебопеч...
M2624321 Marshall от 1223 руб. в Москве
Эностоз кости на КТ видно ли - Рентген, МРТ или...
Märklin 3094 Dampflok BR 03 DB H0 WS Analog mit...
Киста перикарда на КТ - причины появления кисты...
Kitfort КТ-3094 Руководство по эксплуатации онлайн
КТ ВИСОЧНЫХ КОСТЕЙ – Клиника ЕВРОМЕД
База Знаний | Многосрезовая компьютерная томогр...
КТ-диагностика вариантов долихосигмы и их корре...
Весы напольные электронные Kitfort КТ-804-4 до ...
Где сделать ПЦР-тест, экспресс-тест, тест на ан...
Купити Трактор ЮМЗ 6КЛ 1984. Б/в. Ціна 3 900 $,...
Библиотека «Проспект» г. Липецка — Липецк, пр-к...
Лучшие блендеры со стеклянной чашей
Yahoo!オークション - カトー 3094-4 EF60 500番台...
КТ - все, что нужно знать о компьютерной томогр...
347 Märklin 3089 BR 03 1055 Stromlinienlokomoti...
3094-Gel-Rev-A PDS | PDF
«СТТ-2016» – новинки строительной тематики
Назначение, устройство, ремонт в объеме ТР-3 кл...